Los objetivos más importantes de esta ecografía son la evaluación de:
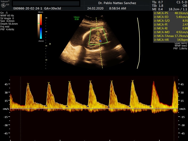
- La vitalidad y el bienestar fetal (Doppler).
- Crecimiento fetal.
- Las estructuras anatómicas fetales: diagnóstico de Malformaciones Estructurales de aparición tardía (displasias esqueléticas, alteraciones cardiacas pequeñas, alteraciones la vía urinaria y obstrucciones intestinales.
- Rastreo de alteraciones cromosómicas (sensibilidad del 55% aprox.).
- El escenario Gravídico: Placenta, liquido y Anexos.
- El Doppler de las arterias uterinas maternas y determinación de riesgo para pre eclampsia severa.

















